Tu sonrisa no es solo un gesto: es tu carta de presentación al mundo
Mi misión es asegurar que esa carta hable de salud, armonía y confianza, a través de tratamientos personalizados que respetan tu ritmo y priorizan una experiencia “humana.»
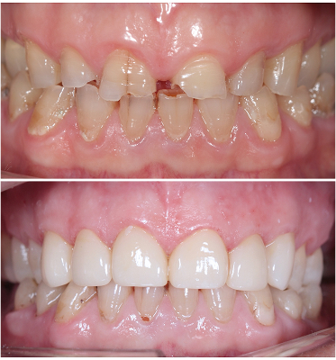
Cada tratamiento nace de escuchar tus necesidades, mapear tus expectativas y traducirlas en soluciones que se sientan propias. Por eso, apuesto por materiales de la más alta calidad y sigo una formación constante para garantizarte un servicio odontológico de primer nivel.
¿Por qué elegirme?
Elegir un odontólogo es una decisión que va más allá de la técnica: se basa en la confianza y el cuidado. Mi compromiso es ofrecerte un servicio profesional, cercano y transparente. Desde el diagnóstico hasta el tratamiento, te acompañaré en cada paso, asegurándome de que recibas la mejor atención posible.

Cada sonrisa es diferente. Por eso, adapto cada procedimiento a tus necesidades específicas, logrando resultados naturales, duraderos y funcionales.

Utilizo técnicas mínimamente invasivas y herramientas digitales de última generación para que tu tratamiento sea preciso, cómodo y sin estrés.

En cada consulta, me tomo el tiempo de escucharte, resolver tus dudas y cuidarte con cercanía, respeto y atención personalizada de principio a fin.
WhatsApp us